

คู่มือจัดฟันเด็กสำหรับผู้ปกครอง
การจัดฟันเด็ก (Early orthodontic treatment) คือกระบวนการแก้ไขปัญหาการเรียงตัวของฟันและขากรรไกรตั้งแต่ช่วงวัยเด็ก โดยเฉพาะในช่วงที่เด็กมีฟันชุดผสม (มีทั้งฟันน้ำนมและเริ่มมีฟันแท้) ซึ่งมักเริ่มต้นที่อายุประมาณ 7-10 ขวบ ขึ้นอยู่กับการเจริญเติบโตของฟันแท้ในแต่ละคน
การจัดฟันในเด็กมีจุดประสงค์หลักเพื่อแก้ไขการเจริญเติบโตของขากรรไกรที่ผิดปกติ หรือการสบฟันบางชนิดที่ควรได้รับการแก้ไขตั้งแต่เนิ่นๆ เพื่อป้องกันปัญหาที่อาจเกิดขึ้นในระยะยาว ไม่ได้มุ่งเน้นเพื่อเรียงฟันให้สวยงามอย่างสมบูรณ์เหมือนการจัดฟันในผู้ใหญ่ เนื่องจากฟันในช่วงนี้ยังขึ้นไม่ครบ การจัดฟันในเด็กจึงมักเป็นส่วนแรกของการจัดฟันแบบสองระยะ (Two-Phase Treatment)

ทันตแพทย์จัดฟันส่วนใหญ่แนะนำให้เริ่มตรวจประเมินตั้งแต่อายุ 7 ขวบ เนื่องจากเป็นช่วงที่สามารถพบปัญหาได้แต่เนิ่นๆ อย่างไรก็ตาม การเริ่มจัดฟันจะขึ้นอยู่กับปัญหาที่พบในแต่ละราย
อายุ 7 ขวบเป็นช่วงที่เหมาะสมสำหรับการเริ่มตรวจประเมินเนื่องจากเป็นช่วงที่ฟันแท้เริ่มขึ้น (โดยเฉพาะฟันกรามแท้ซี่แรก) และขากรรไกรมีการเจริญเติบโตอย่างรวดเร็ว การตรวจในช่วงนี้ทำให้ทันตแพทย์สามารถประเมินว่าเด็กมีความจำเป็นต้องจัดฟันเลยหรือไม่ และวางแผนการรักษาที่เหมาะสม
ช่วงอายุนี้เหมาะสำหรับการแก้ไขปัญหาการสบฟันบางประเภท เช่น การขยายเพดานปากในกรณีพบว่าเด็กมีปัญหาเพดานแคบ หรือการแก้ไขปัญหาฟันหน้าล่างคร่อมฟันหน้าบน (Underbite) และฟันยื่น (Overbite) ที่รุนแรง ซึ่งควรได้รับการแก้ไขก่อนที่ฟันแท้จะขึ้นครบ
เด็กอายุ 10 ขวบส่วนใหญ่มีฟันแท้ขึ้นเกือบครบแล้ว ทำให้เป็นช่วงที่เหมาะสำหรับการจัดฟันระยะที่ 1 เพื่อแก้ไขการเรียงตัวของฟันและปรับการเจริญเติบโตของขากรรไกร การเริ่มจัดฟันในช่วงนี้ช่วยให้การรักษาในระยะที่ 2 (เมื่อฟันแท้ขึ้นครบ) มีความซับซ้อนน้อยลง
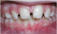
| 1. ฟันหน้าล่างคร่อมฟันหน้าบน | |
| มักเกิดจากความผิดปกติของกระดูกขากรรไกรบนที่เจริญเติบโตน้อยกว่าปกติ ควรรีบรักษาโดยกระตุ้นการเจริญเติบโตของขากรรไกรบน ด้วยเครื่องมือ Facemask | ![]() |
| 2. ฟันหลังสบคร่อม | |
| มักเกิดจากเพดานบนแคบ สามารถรักษาโดยการขยายขากรรไกรบน เช่นการใช้เครื่องมือ RPE | ![]() |
| 3. ฟันสบลึก | |
| เพิ่มความเสี่ยงต่อการเกิดฟันสึกเร็วกว่าปกติและส่งผลต่อเหงือกของฟันหน้าบน | ![]() |
| 4. ฟันหน้าไม่สบกัน | |
| ส่งผลต่อการบดเคี้ยวและความสวยงาม มักเกิดจากการดูดนิ้วหรือการหายใจทางปาก | ![]() |
| 5. ฟันยื่น | |
| เพิ่มความเสี่ยงต่อการเกิดอุบัติเหตุฟันหักหรือกระแทก | ![]() |
| 6. ฟันซ้อนเก | |
| ทำความสะอาดยากและเพิ่มความเสี่ยงต่อการเกิดฟันผุ | ![]() |
| 7. ฟันห่างมาก | |
| อาจเกิดจากขนาดฟันที่เล็กกว่าปกติหรือขากรรไกรที่ใหญ่กว่าปกติ | ![]() |
| 8. ฟันหน้าล่างสบไขว้กับฟันหน้าบน บางซี่ | |
| มักเกิดจากตำแหน่งหน่อฟันที่ผิดปกติ อาจทำให้เกิดเหงือกร่นที่ฟันหน้าล่างและปัญหาการบดเคี้ยว | ![]() |
| 9. พฤติกรรมเสี่ยง เช่น การดูดนิ้ว | |
| ถ้าหากเด็กมีนิสัยชอบดูดนิ้ว มักพบลักษณะฟันหน้าบนยื่น เพดานบนแคบ ควรปรึกษาทันตแพทย์จัดฟันเพื่อแก้ไข | ![]() |
ทันตแพทย์จัดฟันจะพิจารณาเลือกเครื่องมือที่เหมาะสมกับปัญหาของเด็กแต่ละราย โดยเครื่องมือจัดฟันในเด็กมี 4 ประเภทหลัก:
เช่น เพลทจัดฟัน (Plate) ที่สามารถถอดใส่ได้ เหมาะสำหรับปัญหาไม่ซับซ้อนมาก เช่น ฟันห่าง หรือการแก้ไขฟันซี่เดียวที่ผิดตำแหน่ง

เช่น Twin Blocks, Headgear, Face Mask และ RPE (อุปกรณ์ขยายเพดานปาก) เหมาะสำหรับปัญหาโครงสร้างขากรรไกร เช่น ขากรรไกรบนเล็กเกินไปหรือขากรรไกรล่างยื่น

เช่น แบร็คเก็ตโลหะที่ติดบนฟันบางซี่ เหมาะสำหรับปัญหาการเรียงตัวของฟันเฉพาะจุด

เป็นนวัตกรรมในการจัดฟันสำหรับเด็ก ที่พัฒนาต่อยอดจากเครื่องมือจัดฟันแบบถอดได้ โดยผลิตจากแผ่นพลาสติกใสที่มองเห็นได้ยาก อ่านข้อมูลเพิ่มเติม

การจัดฟันในเด็กเป็นกระบวนการที่ต้องอาศัยความละเอียดและความเชี่ยวชาญของทันตแพทย์จัดฟัน เพราะเป็นการรักษาระยะยาว การจัดฟันแบบสองระยะ (2-Phase orthodontics) ประกอบด้วย:

โดยขั้นตอนการจัดฟันในเด็กและค่าใช้จ่ายโดยประมาณมีดังนี้:


ค่าใช้จ่ายขึ้นอยู่กับชนิดของเครื่องมือ จัดฟันเด็ก ราคาเท่าไร ที่ CDC Dental มีค่าใช้จ่ายที่ชัดเจน โดยคุณหมอจะแนะนำเครื่องมือที่เหมาะสมกับเด็กรายนั้น ดังนี้:
| ประเภทเครื่องมือจัดฟัน | ค่ารักษา (บาท) |
|---|---|
| เครื่องมือกันช่องว่าง | 3,500 |
| Active Plate | 6,000 |
| Active Plate with Screw | 7,000 |
| Twin Blocks | 8,000 |
| Headgear | 8,000 |
| Face Mask | 12,000 |
| RPE (อุปกรณ์ขยายเพดานปาก) | 8,000 |
| เครื่องมือจัดฟันแบบติดแน่น (ติดบางซี่) ขากรรไกรเดียว | 15,000 |
| เครื่องมือจัดฟันแบบติดแน่น (ติดบางซี่) สองขากรรไกร | 20,000 |
| Invisalign First จัดฟันใสในเด็ก | 99,000 |



การเลือกทันตแพทย์ที่มีความเชี่ยวชาญเฉพาะทางด้านการจัดฟันในเด็กเป็นสิ่งสำคัญ เนื่องจากการรักษาต้องอาศัยความเข้าใจในการเจริญเติบโตของขากรรไกรและพัฒนาการของฟัน ผู้ปกครองที่กำลังมองหาการรักษาจัดฟันให้บุตรหลานของท่านควรพิจารณาดังนี้
ควรเลือกคลินิกที่มีทั้งทันตแพทย์เฉพาะทางจัดฟันและทันตแพทย์เฉพาะทางทันตกรรมสำหรับเด็ก เพื่อการดูแลที่ครบวงจรและเหมาะสมกับพัฒนาการของเด็ก

ที่ CDC Dental ทันตแพทย์จัดฟันทุกท่านผ่านการฝึกอบรมและศึกษาต่อในหลักสูตรเฉพาะทางจากมหาวิทยาลัยชั้นนำ ทั้งในไทยและต่างประเทศ คุณจึงมั่นใจได้ว่าบุตรหลานของท่านจะได้รับการดูแลอย่างมืออาชีพและมีประสิทธิภาพสูงสุด
CDC Dental ใช้เทคโนโลยีล้ำสมัย เช่น เครื่องสแกนฟันดิจิทัล iTero 5D ทำให้เด็กไม่อึดอัดตอนพิมพ์ปาก และเอกซเรย์ระบบคอมพิวเตอร์ ช่วยลดปริมาณรังสี สำหรับเด็ก เพื่อให้การวินิจฉัยและการวางแผนการรักษามีความแม่นยำ นอกจากนี้ เครื่องมือจัดฟันที่เราใช้ยังนำเข้าจากสหรัฐอเมริกา 100% เพื่อความปลอดภัยและประสิทธิภาพสูงสุด เรามีทั้งเครื่องมือจัดฟันแบบดั้งเดิมและนวัตกรรมใหม่อย่างจัดฟันเด็กแบบใส (Invisalign First) ซึ่งเป็นทางเลือกสำหรับผู้ปกครองที่ต้องการความสวยงามและความสะดวกสบายให้กับบุตรหลาน

CDC Dental ให้บริการครบวงจร ตั้งแต่การตรวจประเมิน การวางแผนการรักษา การติดเครื่องมือจัดฟัน การปรับเครื่องมือรายเดือน ไปจนถึงการดูแลหลังการรักษา เช่น การทำรีเทนเนอร์ เพื่อให้ลูกน้อยของคุณมีรอยยิ้มที่สมบูรณ์แบบและสุขภาพช่องปากที่ดี

สรุป การจัดฟันเป็นกระบวนการแก้ไขปัญหาการเรียงตัวของฟันและขากรรไกร เพื่อให้ได้รอยยิ้มที่สวยงามและสุขภาพช่องปากที่ดีขึ้น การจัดฟันไม่เพียงช่วยเรื่องความสวยงาม แต่ยังป้องกันปัญหาสุขภาพช่องปากในระยะยาว หากคุณสนใจจัดฟัน สามารถปรึกษาทันตแพทย์เฉพาะทางของเราเพื่อวางแผนการรักษาที่เหมาะสมที่สุด
ท่านสามารถนัดหมายตรวจประเมินกับทันตแพทย์จัดฟันได้ฟรี เรามีคุณหมอเฉพาะทางจัดฟันลงตรวจทุกวัน
(ศูนย์ทันตกรรมจตุจักร)
BTS สะพานควาย, ใกล้ จตุจักร อารีย์ พหลโยธิน ประดิพัทธ์ สุทธิสาร ตลาดนัด อตก.
Google Maps - ศูนย์ทันตกรรมจตุจักร(ปริญญาทันตคลินิก เดิม)
ใกล้ บางกะปิ ลาดพร้าว 109, ลาดพร้าว 107, ลาดพร้าว 101, RBAC, รามคำแหง
Google Maps - สาขาลาดพร้าว 109
เฉพาะทางทันตกรรมจัดฟัน